• 网站首页
  • 医院概况
    医院介绍
    荣誉窗
    医院文化
    地理位置
  • 科室介绍
    非手术科室
    手术科室
    诊断相关科室
    其他科室
  • 专家推荐
    外科专家
    内科专家
    五妇儿专家
    医技专家
    首席专家
    特色门诊专家
    返聘专家
  • 就医指南
    急救指南
    门诊指南
    检查指南
    住院指南
    医保专区
    医院交通
    便民服务
  • 先进设备
  • 新闻动态
  • 医院图库
    环境展示
    技术练兵
    工作瞬间
    文化生活
    历史回眸
    电子院报
  • 视频中心
  • 住培专栏
    住培基地介绍
    住培政策与落实
    住培动态
网站导航
  • 党团建设
  • 信息通知
  • 学术交流
  • 药学专栏
  • 医保专区
  • 职工文化
  • 医院图库
  • 健康百科
  • 视频中心
学术交流
  • 您所在的位置:
  • 网站首页
  • 学术交流

腹腔镜下治疗肝囊肿

腹腔镜技术是通过微小创伤或微小入路,将特殊器械、物理能量或化学药剂送入人体内部,完成对人体内病变、畸形、创伤的灭活、切除、修复或重建等外科手术操作以达到治疗目的,其特点是对病人的创伤明显小于相应的传统外科手术,具有创伤小、恢复快、并发症少、...

  • 发布 2012-06-04 10:00
  • 浏览 7923

15年心病风雨肆虐 介入治疗解除顽疾

4月8日,对66岁的张大妈来说是个特别值得纪念的日子,因为这天,她患了15年的“风心病”彻底获得了根治!15年前感冒后的一次就诊,因为心脏杂音,她被“永远”戴上了“风湿性心脏病”的帽子。此后多年的诊治经历,均以“风心病”为出发点进行维持治疗...

  • 发布 2012-06-04 10:00
  • 浏览 7811

假性甲旁减的分析

假性甲旁减:是甲状旁腺激素(PTH)分泌不足或者PTH外周作用缺陷所致的一种疾病,以神经肌肉兴奋性增高为主要表现,以低钙血症和高磷血症为主要生化特点。1资料:2012-2-27本科收治1例假性甲旁减患者,女性,24岁,主因“间断手足抽搐10...

  • 发布 2012-05-02 09:59
  • 浏览 8089

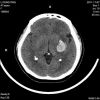
15小时艰苦奋战 神经外科成功切除巨大镰旁脑膜瘤

脑膜瘤是起源于脑膜及脑膜间隙的衍生物,发病率占颅内肿瘤的19.2%,根据病变部位不同,肿瘤的横径、竖径和矢状径大于4或5cm即为大型。近日,神经外科医生不畏风险,在显微镜下奋战15个小时,成功为一患者切除了位于大脑镰旁并且已经长到对侧的巨大...

  • 发布 2012-04-25 09:56
  • 浏览 7921

神经外科再创奇迹——颅内5枚“定时炸弹”成功拆除

颅内动脉瘤破裂的发病率在脑血管意外中居第三位,仅次于脑血栓和高血压性脑出血,占出血性脑卒中的25%左右,人们畏惧地称它为潜伏在颅内的“定时炸弹”。神经外科近日成功拆除处理了一患者颅内5枚“定时炸弹”,现介绍如下:患者,女,54岁,以高血压性...

  • 发布 2012-03-29 09:55
  • 浏览 8032

浅谈小儿动脉采血及相关事项

动脉采血为儿科常见护理操作技术之一,其使用频率仅次于小儿静脉输液。由于小儿静脉血管的解剖特点有时不能从静脉途径一次性采集够检查所需血量,这就大大增加了患儿的痛苦和护士的劳动量。采取从动脉途径采血的方式能够较好地避免上述情况的发生。现将本人在...

  • 发布 2012-03-29 09:54
  • 浏览 14259

终止异位起搏 根治心律失常——心内科首次完成2例射频消融术

春节刚过,当人们还沉浸在节日喜庆的余韵之中时,心内科已迎来了一波又一波的就诊高峰。单日收住院病人最多达22例,单日介入手术最多8例,病房最多同时收住75位病人,虽然有些忙碌,但按照既定的工作流程,门诊、病房、导管室仍按部就班、有条不紊的开展...

  • 发布 2012-03-29 09:53
  • 浏览 8649

辽北首例膀胱再造术在我院获得成功

近日,泌尿外科成功为一位膀胱癌术后2年复发的患者实施了全膀胱切除、原位新膀胱术,这也是辽北首例膀胱再造术。该手术的成功开展,填补了我市在膀胱肿瘤全切手术领域的技术空白,标志着我院泌尿外科技术达到省内先进水平。患者男,69岁,入院后彩超检查示...

  • 发布 2011-12-26 09:53
  • 浏览 7817

我院成功完成首例极外侧型腰椎间盘切除术

2011年9月25日,骨二科收治极外侧型腰椎间盘突出症1例,因系我院首例,特报道如下:患者王某,女,57岁,农民。间歇性腰痛10余年,夜间睡眠时不能仰卧,左腿不能伸直,劳累后加重,休息减轻,1个月前腰痛症状加重,伴随左臀、左髋剧烈疼痛,左小...

  • 发布 2011-12-09 09:52
  • 浏览 8358

眼皮跳的专业解释

“左眼跳财,右眼跳灾”,不少人“眼皮跳”后都会有这种想法,其实这是一种误解。在医学上,眼皮称之为眼睑。眼睑有两种肌肉,一种叫做眼轮匝肌,当它收缩时眼睑就闭合;另一种肌肉叫提上睑肌,当它收缩时眼睛就睁开。这两种肌肉不断收缩、放松,眼睛就能睁开...

  • 发布 2011-12-03 09:51
  • 浏览 9746
共 234 条
  • 1
  • 2
  • 17
  • 18
  • 19
  • 23
  • 24
前往
页

版权所有:铁岭市中心医院

地址:辽宁省铁岭市银州区光荣街南段55号

ICP备案:辽ICP备09014332号-1

辽公网安备:21120202000050号 网站制作:大友科技

铁岭市中心医院违法和不良信息举报电话:024-72213309